🧠 Principais destaques:
- Pesquisadores britânicos estão cada vez mais perto de fazer crescer dentes humanos em laboratório.
- Uma nova técnica com hidrogéis pode ser a chave para imitar o ambiente natural onde nossos dentes se formam.
- No futuro, perder um dente pode deixar de ser um problema irreversível — e o dentista poderá literalmente “plantar” um novo.
Ir ao dentista pode causar arrepios até nas pessoas mais valentes. Trocar um dente perdido por um implante metálico exige cirurgia invasiva, recuperação lenta e o uso de pinos de titânio que nunca se integram completamente ao corpo.
Mas essa realidade pode mudar: cientistas do King’s College London estão desenvolvendo formas de fazer crescer dentes reais dentro do laboratório — e, no futuro, dentro da nossa própria boca.

A ideia é audaciosa, mas não nova. Desde os anos 1980, pesquisadores sonham em recriar de forma natural o processo que o corpo humano usa para formar dentes. No entanto, os avanços mais promissores vêm surgindo agora, graças à combinação entre biotecnologia e engenharia de tecidos.
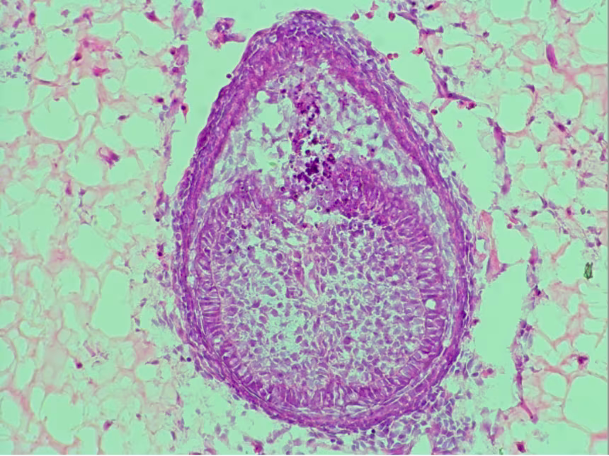
Um passo além: recriando o ambiente natural do dente
À frente dessas pesquisas está Ana Angelova Volponi, especialista em odontologia regenerativa. Há mais de dez anos, ela e sua equipe conseguiram um feito histórico: criar em laboratório um dente formado a partir de células humanas e de camundongos.
Agora, Volponi reformulou o experimento com uma substância inovadora que pode mudar tudo — o hidrogel.
Esse material é um tipo de polímero com alto teor de água, que funciona como uma “casinha” para o desenvolvimento das células, simulando o ambiente real da boca humana. Segundo Xuechen Zhang, doutorando e coautor do estudo, o processo envolve misturar células embrionárias de camundongos e deixá-las crescer por cerca de oito dias dentro do hidrogel. No final, o resultado é impressionante: pequenas estruturas semelhantes a dentes, chamadas de primórdios dentários, surgem espontaneamente.
Essa inovação supera o método anterior, que usava colágeno e não oferecia o mesmo nível de suporte às células. O novo material permitiu um diálogo celular mais eficiente — um verdadeiro “bate-papo biológico” no qual as células trocam sinais que as orientam a formar esmalte, dentina e raiz.
O desafio: substituir células de camundongo por células humanas
Apesar dos avanços animadores, ainda falta um passo crucial: usar apenas células humanas. Hoje, parte do experimento depende de células embrionárias de camundongos, o que impossibilita a aplicação direta em pacientes.
Volponi acredita que, quando essa barreira for superada, dois caminhos serão possíveis:
- Cultivar o dente até certa fase e implantá-lo no local onde o paciente perdeu o original, permitindo que ele cresça naturalmente dentro da boca.
- Fazer o dente crescer completamente em laboratório e depois realizar uma cirurgia para inseri-lo.
Ambas as opções têm um mesmo objetivo: colocar fim aos implantes artificiais e devolver aos pacientes dentes completamente biológicos, com sensibilidade e integração natural ao osso e gengiva.
Uma corrida global pela dentição regenerativa
A pesquisa de Volponi inspira cientistas pelo mundo. No Japão, Katsu Takahashi testa um tratamento experimental com anticorpos capaz de estimular o crescimento de novos dentes em pessoas que nasceram sem eles — algo que já está em fase de testes clínicos.
Nos Estados Unidos, a equipe de Pamela Yelick, da Universidade Tufts, desenvolveu dentes híbridos de células humanas e suínas, enquanto a Universidade de Washington trabalha em recriar, do zero, as células responsáveis pela formação dentária a partir de células-tronco humanas.
Para Hannele Ruohola-Baker, líder do grupo em Washington, o avanço é inevitável: “Estamos decifrando o roteiro molecular do desenvolvimento dental. É uma questão de tempo até conseguirmos reproduzir esse processo totalmente em laboratório”.
O futuro: um sorriso renovado — e natural
Se os cientistas conseguirem completar esse quebra-cabeça, as idas ao dentista nunca mais serão as mesmas. Imagine perder um dente e, em vez de receber um implante de metal, ver nascer um dente totalmente novo, idêntico ao original, cultivado a partir das suas próprias células.
De um sonho distante a uma realidade em formação, o campo da odontologia regenerativa pode inaugurar uma nova era: a era dos sorrisos autênticos — cultivados, não fabricados.
