De acordo com especialistas médicos, a condição é tão rara que apenas 64 casos já foram registrados.
A mulher de 44 anos, cujo nome não foi divulgado, notou pela primeira vez que algo estava errado quando ela começou a sentir uma dor no braço e no ombro que não desaparecia.
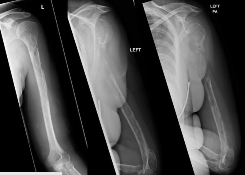
Um raio-X inicialmente revelou uma lesão em seu úmero, sugerindo que ela pode ter câncer, entretanto seus resultados de biópsia foram inconclusivos.
Com o tempo, os testes continuados não conseguiram determinar o que estava errado. Ela começou a desenvolver tumores benignos de vasos sanguíneos e seu braço fraturava e quebrava a partir de pequenos ferimentos.
O mais alarmante de tudo foi o fato de que, em cada raio-X sucessivo, os ossos de seus braços pareciam estar gradualmente desaparecendo.
Ela acabou sendo diagnosticada com doença de Gorham-Stout ou “desaparecimento dos ossos” – uma condição extremamente rara que permanece um enigma médico.
Felizmente, é provável que a doença permaneça confinada ao seu braço, mas não há cura conhecida e os médicos até agora não conseguiram explicar a causa.
