Ilusão de viajar no tempo engana o cérebro
Pesquisadores do Instituto de Tecnologia da Califórnia desenvolveram uma nova e intrigante…
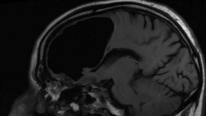
Idoso tem um buraco de 9 cm dentro do cérebro
O homem de 84 anos, que é da Irlanda do Norte, foi…
Fatos divertidos sobre o cérebro que você não sabia
Como funciona o cérebro? O cérebro faz parte do sistema nervoso central…
Organismo semelhante a um cérebro encontrado em lagoa de Vancouver
Conhecido como um briozoários, a criatura quase alienígena foi encontrada no leste…
Jogos de vídeo-game ajudam ou atrapalham seu cérebro?
Os cientistas têm estudado o impacto que diferentes tipos de jogos têm…
Como o cérebro presta atenção?
Escolher um rosto na multidão é uma tarefa complicada: o seu cérebro…
Telefones celulares podem reduzir o poder do seu cérebro
Os cientistas determinaram que simplesmente ter seu telefone próximo pode reduzir sua…
Espécie humana misteriosa tinha um cérebro avançado
O cérebro do homo naledi pode não ter sido tão grande quanto…
